Vụ tai nạn nghiêm trọng xảy ra khi tà áo dài của một nữ sinh bị bánh xe cuốn vào, khiến em mất kiểm soát và đập đầu xuống đường dẫn đến chấn thương sọ não nghiêm trọng. Sự cố không chỉ gây hoang mang cho gia đình mà còn dấy lên cảnh báo về nguy cơ tiềm ẩn khi mặc trang phục truyền thống trong quá trình di chuyển. Bài viết này sẽ phân tích chi tiết sự việc, quá trình cấp cứu và những biện pháp phòng tránh cần thiết để đảm bảo an toàn cho học sinh.
Sự việc tai nạn và hậu quả nghiêm trọng
Một tai nạn đáng tiếc đã xảy ra khiến nhiều người không khỏi bàng hoàng khi một nữ sinh trong lúc di chuyển bằng xe đạp điện bị bánh xe cuốn vào tà áo dài. Hậu quả là em bị ngã mạnh, phần đầu đập xuống mặt đường cứng, gây tổn thương nghiêm trọng tới hộp sọ. Vụ việc đã nhanh chóng thu hút sự quan tâm của cộng đồng bởi nguy cơ chấn thương sọ não rất cao và tính mạng của nữ sinh gặp nguy hiểm trực tiếp.
Thông tin về nạn nhân và hoàn cảnh tai nạn
Nạn nhân là một nữ sinh trung học phổ thông, đang trên đường đi học về sau buổi học thêm chiều hôm đó. Em mặc bộ áo dài trắng truyền thống, chiếc tà áo dài bay nhẹ theo gió. Trong lúc đi xe đạp điện qua một đoạn đường nhỏ có mặt đường trơn trượt do mưa vừa tạnh, phần tà áo bất ngờ bị bánh sau của xe cuốn vào khiến nữ sinh mất thăng bằng và ngã xuống đường một cách nguy hiểm.
Diễn biến tai nạn do tà áo dài vướng bánh xe
Khi tà áo dài bị bánh xe cuốn, nữ sinh đã cố gắng lấy lại cân bằng nhưng không thành công. Cơ thể em bị kéo lê một đoạn ngắn trước khi đập mạnh đầu xuống mặt đường nhựa. Lực va chạm khiến hộp sọ bị tổn thương nghiêm trọng với dấu hiệu nứt xuất hiện rõ ràng tại vùng trán bên phải. Ngay lập tức, người dân quanh khu vực đã hỗ trợ đưa em đến bệnh viện gần nhất để cấp cứu kịp thời.
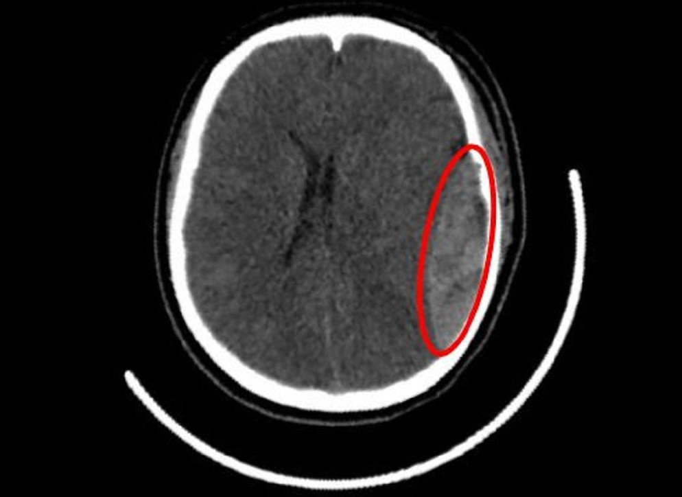
Hình ảnh kiểm tra vị trí chấn thương sọ não của nữ sinh
Tổn thương và triệu chứng sau tai nạn
Sau cú ngã, nữ sinh có biểu hiện đau đầu dữ dội, mất ý thức trong vài phút đầu tiên và xuất hiện tình trạng buồn nôn liên tục. Các dấu hiệu ban đầu cho thấy có sự xuất huyết dưới màng cứng khiến máu tụ tại vị trí tổn thương gây áp lực lên não bộ. Tình trạng này cực kỳ nguy hiểm nếu không được xử lý kịp thời có thể dẫn tới biến chứng lâu dài hoặc tử vong.
Quy trình cấp cứu và điều trị tại bệnh viện
Ngay sau khi được chuyển đến khoa cấp cứu, đội ngũ y bác sĩ đã tiến hành kiểm tra cẩn thận nhằm đánh giá mức độ tổn thương của nạn nhân. Quy trình xử lý khẩn cấp được thực hiện nhằm giảm thiểu tối đa các biến chứng nguy hiểm từ chấn thương sọ não. Toàn bộ quá trình điều trị diễn ra rất nhanh chóng, góp phần bảo đảm khả năng hồi phục cho nữ sinh.
Tình trạng sức khỏe khi nhập viện
Khi nhập viện, nữ sinh vẫn trong tình trạng lơ mơ, phản xạ chậm và có vết xây xước ở vùng đầu cùng cổ tay bên phải. Đội ngũ y tế nhanh chóng tiến hành đo huyết áp và theo dõi nhịp thở để lập kế hoạch điều trị phù hợp. Mặc dù còn tỉnh táo nhưng các biểu hiện thiếu ổn định về thần kinh cảnh báo mức độ tổn thương khá nghiêm trọng.
Kết quả chẩn đoán hình ảnh và mức độ tổn thương
Sau khi tiến hành chụp CT scan não bộ, kết quả cho thấy vùng hộp sọ bên phải xuất hiện vết nứt sâu kèm theo máu tụ ngoài màng cứng tạo áp lực lên mô não xung quanh. Đây là một trường hợp chấn thương sọ não phức tạp cần can thiệp ngoại khoa ngay lập tức để ngăn ngừa triệu chứng thần kinh xấu đi.
Phẫu thuật cấp cứu lấy máu tụ ngoài màng cứng
Ca phẫu thuật khẩn cấp và kết quả phục hồi
Các bác sĩ chuyên khoa thần kinh đã tiến hành phẫu thuật khẩn cấp để loại bỏ khối máu tụ ngoài màng cứng, đồng thời xử lý vùng hộp sọ bị tổn thương nhằm giảm áp lực cho não bộ. Ca mổ diễn ra suôn sẻ và thành công ngoài mong đợi. Sau hơn một tuần điều trị tích cực tại phòng chăm sóc đặc biệt, sức khỏe của nữ sinh dần ổn định với khả năng phục hồi tốt mà không để lại di chứng nào đáng kể.
Nguy cơ tai nạn từ tà áo dài khi tham gia giao thông
Tà áo dài vốn là biểu tượng văn hóa truyền thống được nhiều người yêu thích nhưng lại tiềm ẩn nhiều nguy cơ gây tai nạn khi di chuyển bằng các phương tiện cá nhân như xe đạp hay xe máy. Với thiết kế dài rộng và dễ bị vướng vào bánh xe hoặc các chi tiết máy khác, đây trở thành nguyên nhân phổ biến dẫn đến các sự cố không mong muốn trên đường phố ngày nay.
Đặc điểm dễ gây tai nạn của tà áo dài và các loại áo khác
Tà áo dài thường có phần vạt khá dài rủ xuống sát mặt đất hoặc che phủ lên bàn chân nên rất dễ bị cuốn vào bánh xe hoặc mắc kẹt tại các khe hở máy móc khi người mặc di chuyển bằng xe hai bánh. Ngoài ra, nhiều loại trang phục khác như váy xòe hoặc quần rộng cũng mang tính tương tự về độ nguy hiểm nếu không chú ý kỹ càng trong quá trình vận hành phương tiện giao thông.
Những trường hợp tương tự đã xảy ra gần đây
Không ít vụ tai nạn do tà áo dài vướng bánh xe từng được ghi nhận tại nhiều địa phương trên cả nước. Một số trường hợp cũng dẫn đến chấn thương đầu hoặc gãy xương nghiêm trọng khiến dư luận đặt câu hỏi về sự cần thiết phải nâng cao ý thức an toàn cho người mặc trang phục truyền thống mỗi khi lưu thông trên đường.
Sức khỏe nữ sinh ổn định sau phẫu thuật
Giải pháp phòng tránh tai nạn cho học sinh mặc áo dài
Việc giữ gìn an toàn khi học sinh mặc áo dài di chuyển trên đường là điều hết sức cần thiết nhằm hạn chế những rủi ro không đáng có. Có nhiều giải pháp thực tế có thể áp dụng từ việc thay đổi cách đi lại cho đến sự phối hợp giữa nhà trường và phụ huynh nhằm đảm bảo môi trường giao thông an toàn hơn cho các em.
Cách giữ tà áo dài gọn gàng khi di chuyển bằng xe đạp điện, xe máy
Nữ sinh nên chủ động xếp gọn phần tà áo sang hai bên hoặc dùng kẹp chuyên dụng để cố định nhằm tránh việc quấn vào bánh xe hoặc mắc kẹt vào chân ga khi điều khiển phương tiện cá nhân như xe máy hay xe đạp điện. Ngoài ra cũng cần chọn trang phục thoải mái và phù hợp với điều kiện giao thông thực tế.
Vai trò của nhà trường trong hướng dẫn an toàn giao thông cho học sinh
Nhà trường đóng vai trò then chốt trong việc trang bị kiến thức an toàn giao thông cho học sinh thông qua các chương trình giáo dục định kỳ cũng như những buổi tập huấn kỹ năng lái xe an toàn đảm bảo hạn chế tối đa rủi ro phát sinh do trang phục hay thói quen tham gia giao thông thiếu an toàn.
Lời khuyên dành cho phụ huynh về lựa chọn phương tiện an toàn
Phụ huynh nên cân nhắc lựa chọn những phương tiện di chuyển phù hợp cho con em mình, đặc biệt trong điều kiện thời tiết xấu như trời mưa hay mặt đường trơn trượt đề phòng nguy cơ té ngã do trang phục va quệt với bánh xe hoặc các chi tiết khác của phương tiện.
Những lưu ý khi di chuyển trên mặt đường trơn hoặc trời mưa
Điều kiện thời tiết mưa ướt làm tăng nguy cơ trượt ngã rất cao vì vậy nữ sinh cần giảm tốc độ, giữ khoảng cách an toàn với các phương tiện khác và tăng cường quan sát để xử lý kịp thời tình huống bất ngờ cũng như giữ chắc tay lái tránh xoay bánh gây vướng tà áo.
Các lưu ý quan trọng khi gặp tình huống tà áo dài bị cuốn vào bánh xe
Hành động cần làm ngay để tránh nguy hiểm thêm khi gặp sự cố
Khi phát hiện tà áo bị cuốn vào bánh xe hoặc chi tiết máy móc, người mặc nên giữ bình tĩnh và nhanh chóng tắt máy hoặc dừng hẳn phương tiện để tránh kéo lê làm tổn thương nghiêm trọng hơn. Tuyệt đối không cố giật mạnh vì dễ gây mất kiểm soát dẫn đến té ngã hoặc làm rách da thịt nghiêm trọng.
Tác hại của việc cố gỡ tà áo khi xe đang chạy
“Cố tháo tà áo trong lúc phương tiện đang di chuyển rất dễ gây mất cân bằng khiến người lái ngã xuống đường đồng thời làm tăng mức độ tổn thương vật lý đối với bản thân cũng như những người xung quanh. Do đó nên ưu tiên dừng hẳn mới xử lý để bảo vệ an toàn tối đa.”
Cảnh báo về tổn thương sọ não do chấn thương vùng đầu
“Chấn thương vùng đầu luôn tiềm ẩn những nguy cơ khó lường đặc biệt là khi có sự xuất hiện của máu tụ ngoài màng cứng – một dạng chảy máu nội sọ có thể dẫn đến tử vong nếu không được can thiệp kịp thời. Việc nhận diện sớm triệu chứng và chủ động thăm khám ngay sau va chạm giúp giảm thiểu tối đa những hậu quả nghiêm trọng lâu dài.”
Đặc điểm nguy hiểm của máu tụ ngoài màng cứng trong chấn thương sọ não
“Máu tụ ngoài màng cứng là tình trạng máu tích tụ giữa hộp sọ và màng dura mater bao phủ não bộ khiến áp lực nội sọ tăng nhanh gây tổn hại chức năng hệ thần kinh trung ương rất nguy hiểm nếu không được xử lý kịp thời.”
Triệu chứng cần theo dõi sau va chạm vùng đầu
“Sau cú va đập ở vùng đầu cần lưu ý các dấu hiệu bất thường như đau đầu kéo dài dữ dội, buồn nôn liên tục, mờ mắt, lú lẫn hay mất ý thức dù ở mức độ nhẹ nhất cũng nên được đưa đi khám ngay để đảm bảo an toàn.”
Tầm quan trọng của việc thăm khám sớm và theo dõi liên tục sau chấn thương đầu
“Việc khám xét đầy đủ bằng hình ảnh y khoa như CT scan não giúp phát hiện sớm tổn thương nội sọ tiềm tàng chưa biểu hiện rõ lâm sàng bên ngoài; đồng thời theo dõi sát sao giúp can thiệp y tế đúng lúc tránh biến chứng nguy hiểm xảy ra.”
“Nâng cao nhận thức để bảo vệ học sinh khỏi tai nạn từ tà áo dài”
“Tai nạn do bánh xe cuốn vào tà áo dài gây chấn thương nghiêm trọng cho nữ sinh là lời cảnh tỉnh sâu sắc đối với cả gia đình, nhà trường lẫn xã hội về việc chú trọng hơn nữa vấn đề an toàn giao thông liên quan đến trang phục truyền thống. Việc kết hợp biện pháp phòng tránh đúng cách cùng với tuyên truyền nâng cao nhận thức sẽ góp phần giảm thiểu rủi ro đáng tiếc tương tự xảy ra trong tương lai.”

